醫療團隊
診療空間
醫療設備
診療項目
患者見證
最新資訊
諮詢約診
醫療團隊
診療空間
醫療設備
診療項目
微創植牙
前牙美觀區植牙
角質化牙齦 軟組織移植
植牙
全瓷牙冠
矯正+全瓷冠
牙橋
活動假牙
牙周治療
根管治療
牙冠增長
全口重建
智齒拔除
兒童牙科
牙齒居家美白
牙科雷射治療
牙科常見問題
患者見證
最新資訊
諮詢約診
CASE
案例分享
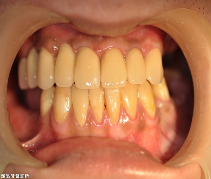
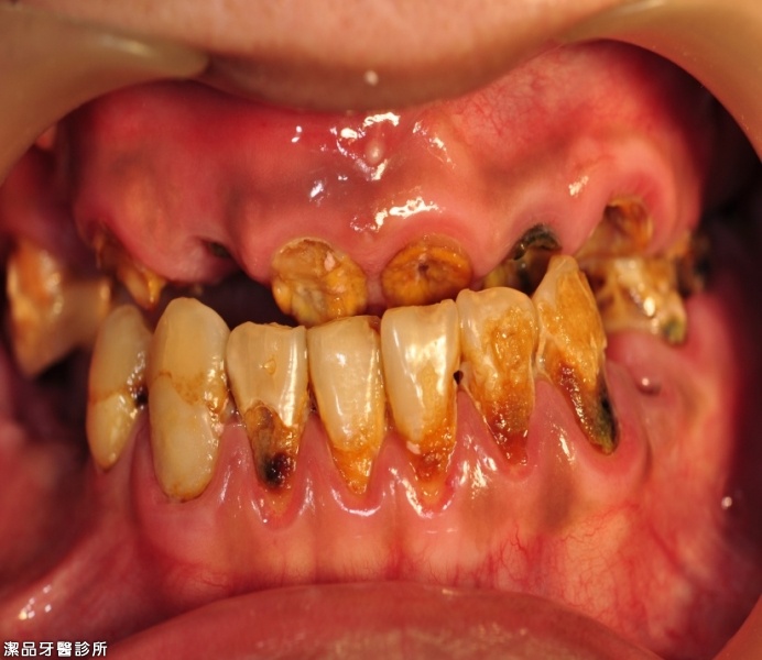
全口重建案例-001
案例簡述:
全口重建
治療方式:
恢復昔日燦爛的笑容,後牙等待植牙中。
治療時間:
Before
After
上一則
|
返回列表
|
下一則