CASE案例分享
-
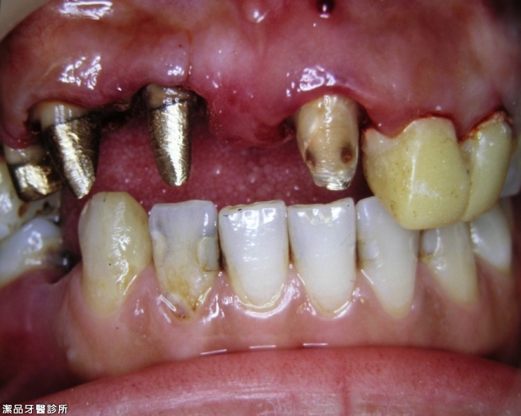
口內照片
-
拆掉牙套後… 都蛀掉了,難怪假牙會長牙胞!爛牙根要被拔掉了嗎?
-
施以牙冠增長術並以柱心補強結構 符合特定條件下,爛牙根是可經由手術廢物利用,它可以再陪您好幾年,甚至幾十年呢!
-
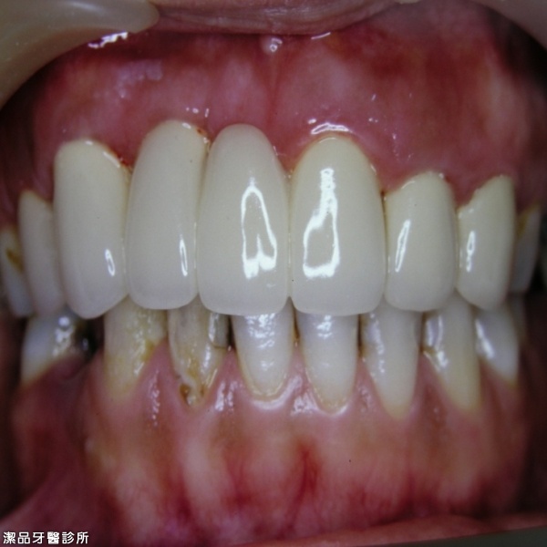
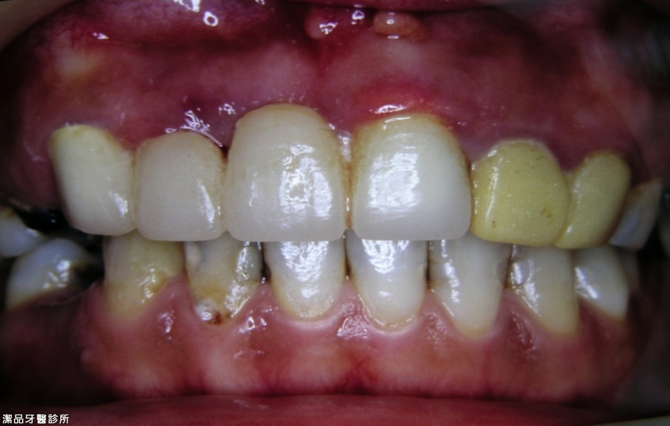
治療後又能開心的笑了!
-
找回自信又健康的笑容


