CASE案例分享
-
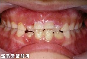
上顎門牙錯咬
-
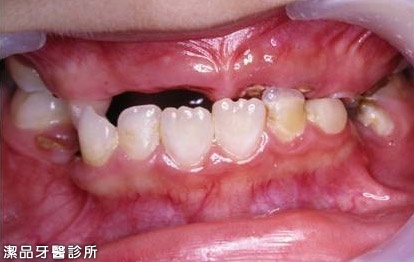
上顎蛀牙
-
小寶貝上顎牙齒幾乎蛀光,重建之路漫長,家長要負九成九的責任!
-
從小就要養成刷牙的好習慣喔!


