CASE案例分享
-
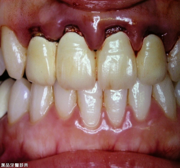
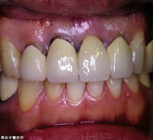
治療前
-
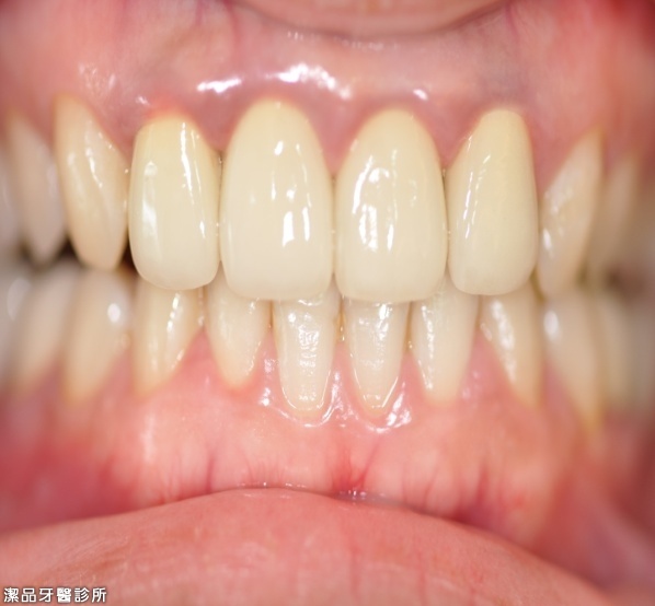
治療後
-
假牙重做 三年後追
-
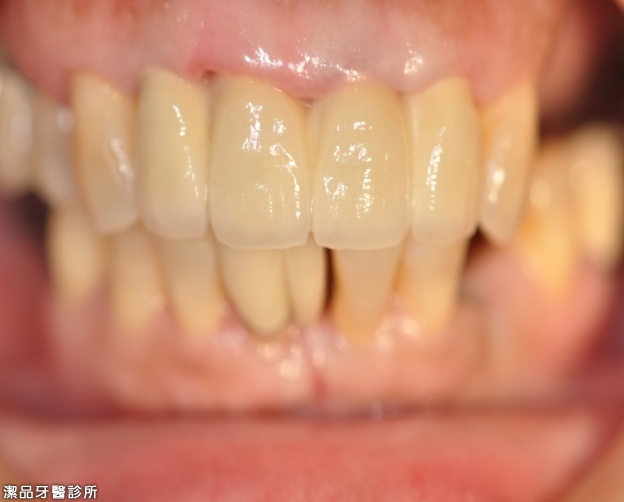
治療前
-
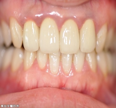
治療後
-
重新製作假牙


