醫療團隊
診療空間
醫療設備
診療項目
患者見證
最新資訊
諮詢約診
醫療團隊
診療空間
醫療設備
診療項目
微創植牙
前牙美觀區植牙
角質化牙齦 軟組織移植
植牙
全瓷牙冠
矯正+全瓷冠
牙橋
活動假牙
牙周治療
根管治療
牙冠增長
全口重建
智齒拔除
兒童牙科
牙齒居家美白
牙科雷射治療
牙科常見問題
患者見證
最新資訊
諮詢約診
CASE
案例分享
單顆固定假牙案例-001
案例簡述:
矯正+瓷冠
治療方式:
傷害小 ,效果好 , 比較一下吧! 抽過神經變色 , 矯正後製作假牙。
治療時間:
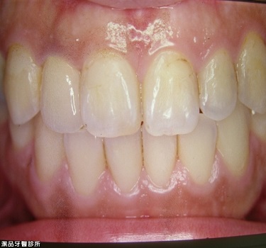
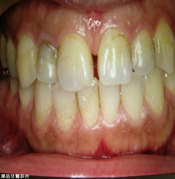
before
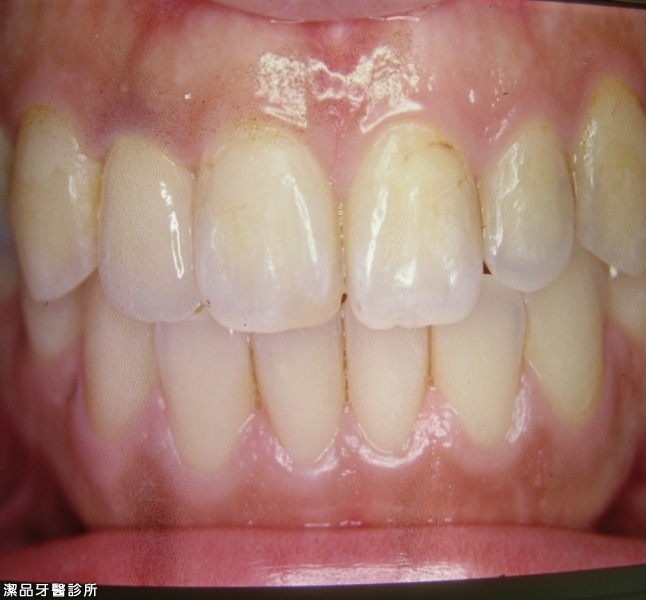
after
上一則
|
返回列表
|
下一則