CASE案例分享
-
左下第一大臼齒根尖嚴重發炎
-
拔牙+補骨後4個月恢復狀況良好已有足夠骨頭植牙
-
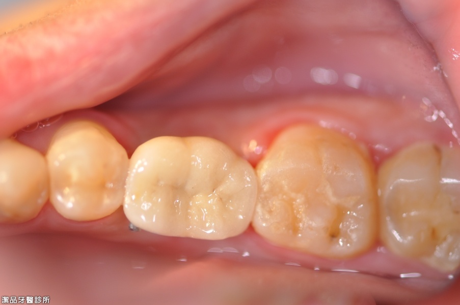
植牙後3個月完成治療
-
牙根嚴重發炎
-
拔牙+補骨後4個月恢復狀況良好已有足夠骨頭植牙
-
植牙周圍都是健康的骨頭


